Брекет-системы
27 лет выравниваем зубы пациентам любого возраста. В среднем результата достигаем за год. Используем современное оборудование и золотые руки врачей. Не удаляем зубы без крайней необходимости. В штате 6 стоматологов-ортодонтов и 2 техника ортодонтического профиля. Доступная цена, возможна рассрочка.
Консультация 1 000 руб.
Брекет-системы — это специальные конструкции, состоящие из дуг, скобок, колец, пружин,
замков и собственно брекетов. Используются для исправления нарушенного прикуса и выравнивания зубного ряда.
Если хотите иметь красивую улыбку и планируете выровнять зубы в Ярославле, установив брекеты на зубы,
специалисты клиники «Подмосковье» помогут. Предпочитаем современные немецкие
Кому и в каком возрасте подходят брекеты
Наши врачи не перестают утверждать, что ортодонтическое лечение не имеет возрастных ограничений.
Все привыкли считать брекеты прерогативой подростков и действительно в большинстве случаев ортодонты рекомендуют установку брекетов с 12–14 лет, так как в это время происходит активный рост челюстей, постоянные зубы практически все прорезались и лечение соответственно будет наиболее эффективным и быстрым. В таком возрасте зубы еще не успели задержаться в своем неправильном положении, поэтому и менять его проще. Идеальной можно назвать ситуацию, когда ребенок наблюдается у ортодонта с начала смены молочных зубов, и врач по мере роста челюсти и необходимости подбирает соответствующие корректирующие аппараты (каппы, пластинки, брекеты и прочее).
Возраст не так важен
Рост челюстей заканчивается к 14–16 годам. В таком возрасте и любом более позднем
метод лечения на

Люди, которым сейчас 35 более лет прекрасно помнят, что в пору их детства брекеты были, не столь
доступны и популярны в кругах стоматологов, как сейчас. Все потому, что ортодонтия достаточно
молодое направление для России, у нас такая практика лечения существует всего около
Теперь поколение людей 30–45 лет, которые не имели возможности пройти ортодонтическое лечение
в детском возрасте, понимают всю важность проблемы с зубами и обращаются осознанно к специалистам
за исправлением ситуации. Как правило, они приходят к врачу сами, реже по направлению
Процесс длительный и трудоемкий
Что важно в вопросе лечения на
Очень важно, чтобы врач рационально подошел к планированию лечения — нашел компромисс между тем, что хочет он и тем, что желает получить в итоге пациент. Нет смысла мучать человека три года и более, в погоне за идеальным результатом, никто не оценит таких жертв, пациент только измучается. Поэтому задача доктора в самом начале честно рассказать, как будет проходить лечение, что в итоге сможет получить пациент, а потом важно услышать человека, на что он готов, что ему нравится.
Виды
брекет-систем
Металлические
Это самые прочные и, одновременно, самые недорогие устройства. Современные металлические брекеты —
это легкие конструкции с замками, однако в эстетическом плане они все же проигрывают
Керамические
Прочные и изящные, едва заметные на зубах.
По результатам клинической картины и данных диагностических исследований врач назначает
пациенту необходимую
Традиционные или самолигирующие
Ортодонты клиники работают и с самолигирующими брекетами (или безлигатурными брекетами) —
это наиболее удобная на сегодняшний день
Этапы лечения
Ортодонтическая стоматология предполагает продолжительное лечение. Но весь этот путь проходит по заранее оговоренному маршруту:
1. Обследование
Включает: осмотр, фотографии лица и зубных рядов, снятие слепков для изготовления диагностических моделей и рентгендиагностику (ортопантомограмма и телерентгенограмма головы в боковой проекции). Это позволяет получить объективную информацию о состоянии зубочелюстной системы.
2. Составление плана лечения
После проведения полного анализа моделей и снимков
-
Стоматолог-терапевт - Гигиенист
- Пародонтолог
-
Стоматолог-хирург -
Стоматолог-ортопед
Врач подробно объяснит, как выпрямить зубы, какова будет продолжительность лечения и его этапы. При составлении плана лечения оговаривается стоимость и порядок его оплаты.
3. Активное лечение
Устанавливается
продолжительность выравнивания
1–3 года
4. Ретенционный период (закрепление результата лечения)
По окончании этапа активного лечения наступает ретенционный период, во время которого
происходит закрепление достигнутого результата при помощи использования ретенционного аппарата.
Ретенционный период длится около
Ретенционный период
≈2 года
Техника многопетлевой дуги
Неотъемлемой частью лечения на
Многопетлевая дуга представляет собой проволочную дугу с горизонтальными петлями в виде
«перевернутых сапожков», расположенными на уровне межзубных промежутков от боковых
резцов до жевательных зубов (по 5 с каждой стороны). Изгибается такая дуга опытным
Преимущества многопетлевой техники:
- Позволяет многим взрослым пациентам с законченным лицевым ростом избежать челюстной хирургии
- За счет деления дуги петлями на сегменты улучшается контроль перемещения каждого зуба
- Снижается нагрузка за счет оказания слабой, но непрерывной силы на зубы
- Возможность контролировать окклюзионную плоскость (линию смыкания зубов), которая дает стабильный результат
- Позволяет изменить высоту прикуса
- Избежать удаления малых коренных зубов, премоляров
- Точно скоординировать размеры и форму зубных дуг
Недостатками данной техники является заметность для окружающих, но это в полном объеме окупается возможностью исключить ортогнатическую хирургию, исправить прикус у взрослых пациентов и обеспечить стабильный результат ортодонтического лечения.
Методика требует 100% взаимодействия с пациентом по ношению специальных межчелюстных эластических тяг на этапе лечения и хорошей гигиены полости рта.

Добиваемся удивительных результатов
Ортодонты центра стоматологии «Подмосковье» точно знают, как исправить прикус зубов в Ярославле и сделают это на высочайшем уровне! В клинике применяются только передовые ортодонтические методики, благодаря которым врач добивается наилучшего результата в оптимальные сроки.
Примеры работ
Пациентка 8 лет. Обратились с жалобой на неровное прорезывание зубов и дефицит места для постоянных зубов.
План лечения:
1)использование несъемного аппарата для расширения верхней челюсти Марко Росса
2)Через 4 месяца установка частичной брекет-системы 2 на 4 для выравнивания передней группы зубов;
Срок лечения составил 10 месяцев.
Достигнуты результаты:
— изменение ширины верхнего зубного ряда, что способствует нормальному прорезыванию постоянных зубов;
— устранена эстетическая недостаточность, связанная со скученностью зубов верхней челюсти.
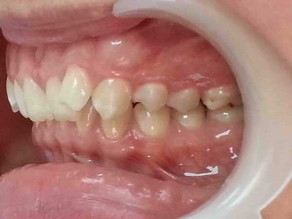
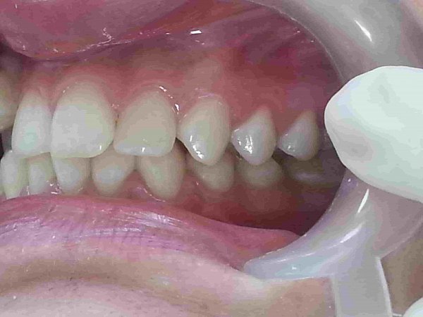
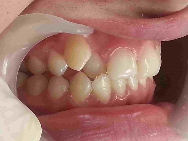
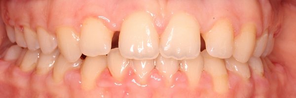
Пациентка 16 лет. Жалобы на неправильное положение зубов, нарушение прикуса.
Ортодонтического лечение проводилось на
Диагноз: Мезиальная окклюзия, тенденция к вертикальной резцовой дизокклюзии, скучное положение зубов.
Фактический срок лечения 25 месяцев
Пациентка обратилась по эстетическим показаниям, изначально у нее выявлено: недостаточная ширина улыбки, снижение высоты нижней трети лица, отсутствие плотного смыкания зубов в боковом отделе, сужение зубных рядов. Так же пациентка была очень недовольна формой и цветом передней группы зубов. Был поставлен диагноз — Мезиальная окклюзия. Сужение зубных рядов. Нарушение эстетики.
Основные пожелания пациентки — иметь ровный зубной ряд с правильным смыканием и положением зубов, но
Что было сделано:
-
Выровняли дугу улыбки с помощью
брекет-системы и техники многопетлевых дуг. - Провели коррекцию соотношения челюстей, добились нормализации формы и размеров зубных рядов.
- В области передней группы зубов были оставлены промежутки, для возможности увеличения размеров зубов
- Ортопедом фиксированы цельнокерамические виниры. Цвет и форма подбирались совместно с пациентом.
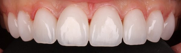
В итоге зубы стали не просто ровными, а идеальными: по форме и размерам. И цвет- главное пожелание пациентки — ослепительно белый! Результат на лицо!
Комплексный план лечения реализовала команда врачей: ортодонт Десяткина А.В., ортопед Десяткин И.М.
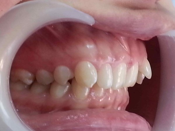
Дистальная окклюзия, глубокая травмирующая резцовая окклюзия. Лечение на брекет-системе две челюсти, техника MAEW с удалением нижнего зуба мудрости слева. Срок лечения 2 года 2 месяца.
Тенденция к мезиальной окклюзии, нарушение смыкание пар зубов-антагонистов. Лечение на брекет-системе две челюсти. Срок лечения 2 года 8 месяцев. С использованием на этапе лечения техники MEAW и удаление нижних зубов мудрости.
Пациентка 16 лет. Обратилась с жалобой на вертикальную щель между верхней и нижней челюстями.
Объективно: Вертикальная дизокклюзия 4 мм. Перекрестная окклюзия справа, смещение центральной линии нижней челюсти вправо. Щелчок в правом ВНЧС, неправильное положение языка.
План лечения:
1)удаление всех зубов мудрости;
2)устранение вертикальной щели и перекрестной оккклюзии с помощью техники многопетлевой дуги
3)ношение эластических тяг
4)Работа с логопедом для нормализации положения языка.
Достигнуты результаты за 10 месяцев:
1)устраниение вертикальной щели и перекрестной окклюзии справа;
2)выровнена центральная линия нижней челюсти;
3)устранение щелчка в правом ВНЧС;
4)пациентка работает с логопедом для нормализации положения языка.
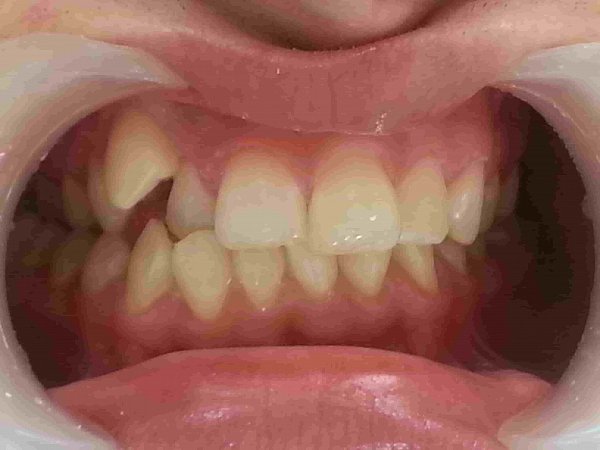
Пациентка 13 лет. Обратилась с жалобой на неправильный прикус.
Объективно: обратная резцовая окклюзия, вестибулярное положение зуба 2.3(клык) отсутствие зуба 1.2 (первичная адентия), сужение верхней челюсти, перекрёстная окклюзия справа, из анамнеза ротовое дыхание и аденоиды.
План лечение:
1)Расширение верхней челюсти с помощью аппарата РПЕ;
2)Удаление зубов мудрости нижней челюсти;
3)Лечение на брекет системе 2 челюсти с использованием техники многопетлевой дуги и ношениеэластических тяг.
4)Имплантация в области бокового резца после 18 лет
5)Лечение у ЛОРа.
Достигнуты результаты за 11 мсяцев:
1)расширение верхней челюсти
2)устранение обратного резцового перекрытия;
3)устранение скученности верхней челюсти;
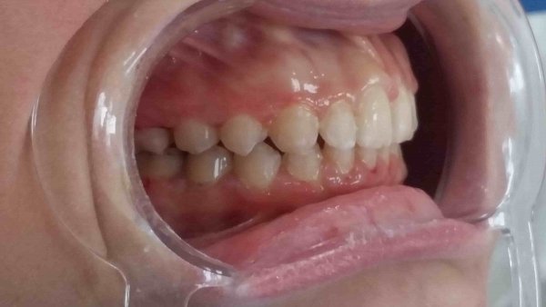
Лечение на брекет-системе «Зенит», 2 челюсти, с удалением 8-х зубов (зубов мудрости). Срок лечения — 2 года.
Ортодонтическое лечение на 2-х челюстях с удалением 8-х зубов (зубов мудрости). Помимо брекет системы в лечении активно применялись многопетлевые дуги. Срок лечения 18 мес.
Лечение на брекет-системе «Аполло», 2 челюсти без удаления зубов. Срок лечения 2 года. Травма 1/1 в детстве, проведена художественная реставрация врачом-терапевтом Шиленковой С.В.