Стоматология Подмосковье
150040, Россия, Ярославская область, Ярославль, ул. Некрасова, д.41
+7 4852 74-45-45 mail@mc-podmoskovie.ru

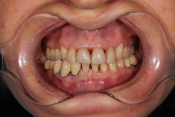
Протезирование зубов

26 лет протезируем зубы. Устанавливаем коронки, виниры и съемные протезы. Работаем только с артикулятором, что обеспечивает правильный прикус. Максимально сохраняем ваши зубы, препарируя их под микроскопом. Благодаря собственной зуботехнической лаборатории гарантируем высочайшее качество и быстрый срок исполнения.

Консультация 1 000 ₽

Запись на консультацию

Коронка из диоксида циркония

  • сверхпрочные, эстетичные, биосовместимые
  • производство от 4-х дней под микроскопом
  • компьютерная моделировка, Cad/Cam
  • план лечения перед началом манипуляций

от 19200руб./ед

Сопровождение координатором — Бесплатно!

Каждого пациента обратившегося за услугой имплантации или комплексного протезирования сопровождает личный координатор До/Во время/После лечения. Координатор ответит на возникающие вопросы, разъяснит план лечения немедицинским языком и подберет комфортное время записи.

Узнать подробнее

Виды

Виниры 2 вида

Тонкие керамические пластинки, необходимые в случае реставрации передних зубов.

Коронки 3 вида

Отличаются повышенной прочностью, хорошей эстетикой. Цельные коронки идеально подходят для жевательных зубов при протезировании боковых отделов.

Съемные протезы 7 видов

Заместим утраченные зубы. Изготовим протезы неотличимые от «родных» зубов! Могут быть условно съемные и полносъемные. Удобно устанавливать самостоятельно. Значительно дешевле несъемных аналогов. Различается по материалу изготовления и виду крепежей.

Чем мы отличаемся от других стоматологий в Ярославле

1. Стоматологи

Квалификация врачей

Каждый специалист «Подмосковья» — один из лучших во всем Ярославле. Наша команда постоянно развивается, посещает профильные конференции и семинары.

Поэтому мы с завидной регулярностью внедряем новые технологии в производство, оттачиваем мастерство, и только потом предлагаем инновационные решения пациентам.

23

Протезируем зубы 23 года

Узкая специализация врачей

Когда зубной техник изготавливает коронку, а последующим протезированием занимается ортопед, это — правильно. В центре стоматологии «Подмосковье» работают только опытные ортопеды со стажем 8–30 лет, а изготовлением съемных и несъемных конструкций занимаются зубные техники. Именно поэтому мы можем обеспечить гарантию на свою работу.

2. Зуботехническая лаборатория

У нас в стоматологии есть зуботехническая лаборатория. Все производство происходит только в стенах клиники. Это обеспечивает быстрые сроки изготовления (от 1 дня), индивидуальный подход к изготовлению ортопедических конструкций и возможность корректировки изделия на этапе примерки.

3. Передовое оборудование и материалы

Работаем только с артикулятором

Наши стоматологи-ортопеды работают только с артикулятором. Благодаря использованию артикулятора не просто заполняем пустоту в зубном ряду, а восстанавливаем функцию. Когда ортопедическая конструкция сделана с соблюдением всех канонов, зубы будут не только красивыми, но и идеально встроены в зубной ряд, и не вызывать ни малейшего дискомфорта при жевании.

Использование артикулятора зуботехником при создании съемных протезов
Артикулятор предназначен для воспроизведения движения нижней челюсти относительно верхней челюсти. Настраивается индивидуально под каждого пациента.

Препарируем зубы под микроскопом

Наши стоматологи-ортопеды используют бинокулярные лупы I. C. Lercher или микроскоп Zеiss. От взгляда доктора, не ускользнет ни одна проблема. Ведь увеличение позволяет точно оценить происходящие патологические процессы в зубе, точно определить все корневые каналы и их ответвления, а также создать неуловимый глазу переход искусственных реставраций (пломбы, виниры, коронки) в ткани зуба. Мы проводим препарирование зубов с использованием микроскопа, что существенно улучшает качество вмешательства.

Большой выбор способов протезирования

Собрали, пожалуй, всевозможные способы восстановления утраченных зубов из мировой стоматологической практики, поэтому врач подберет подходящий для вас вариант. При этом бюджетные варианты будут столь же надежны, как и дорогие — благодаря точному соблюдению стандарта.

3D моделирование

Применяем внутриротовой 3D сканер для быстрого моделирования CAD/CAM. Ортопед помещает сканер в рот пациента, нажимает кнопку «Сканировать» и начинает свободно перемещать его вдоль поверхностей зубов. Одновременно с движениями руки оператора на экране компьютера появляется изображение выстраиваемой 3D-модели. Пациент не испытывает дискомфорта, можно даже использовать при повышенном рвотном рефлексе у пациента.Пациент минимально посещает стоматолога. Все анатомические данные зубов пациента, полученные при сканировании хранятся в цифровом виде в базе клиники.

Стерилизация инструмента

В стоматологии две стерилизационных. Все многоразовые инструменты стерилизуются и вскрываются только перед процедурой на глазах пациента. Для пытливых умов собрали полный список используемого стерилизационного оборудования.

Одна из стерилизационных

Седация

Благодаря штатному анестезиологу и сертифицированному оборудованию, врачи выполняют лечение под местной анестезией и под седацией

Этапы протезирования

1

Диагностика и проектирование

Начнем с осмотра стоматологом-ортопедом, выявим все имеющиеся проблемы. Зафиксируем в анкете здоровья все нюансы челюсти, определим этапность работ, привлечем при необходимости смежных специалистов.

Отсканируем положение зубов или снимем слепки и отправим на  3D-моделирование в лабораторию. Спроектируем будущие зубы по методике Славичека. Найдем оптимальное решение для протезирования.

2

Изготовление

Изготовим все конструкции в собственной зуботехнической лаборатории в клинике. Затем пригласим пациента на примерку временных моделей.

3

Результат

После примерок убедившись, что конструкция прилегает идеально в полости рта, пациент доволен внешним видом изделий, производится окончательная фиксация! В завершении врач дает рекомендации по уходу. И напоследок — сфотографирует Вас с идеальной улыбкой!

Объем лечений

2023

Собрали статистику по протезированию за 2023 год

280чел

Установили виниры

3819чел

Установили коронки

139чел

Каппы

342чел

Установили съемные протезы

Истории успеха

Екатерина
Юрий
Елизавета
Галина
Алина
Денис
Татьяна

Екатерина

Я признательна врачам за то, что они мне не только помогли избавиться от боли, но и благодаря новым зубам я чувствую себя моложе, увереннее, теперь у меня по настоящему красивая улыбка

Читать историю Екатерины

Юрий

Я благодарен врачам и техникам клиники, как никогда чувствую себя моложе и увереннее.

Читать историю Юрия

Елизавета

Поставленная задача в лечении достигнута, зубы встали в правильное положение. Улыбка ровная и гармонично сочетается с чертами лица.

Читать историю Елизаветы

Галина

Я очень благодарна за ваше чуткое внимание, грамотный подход, у вас лечиться одно удовольствие.

Читать историю Галины

Алина

Спасибо, клинике и врачам за мою улыбку.

Читать историю Алины

Денис

Все лечение четкое и понятное, результатом остался доволен.

Читать историю Дениса

Татьяна

Спасибо Алене Вадимовне, Илье Михайловичу, Диане Валерьевне и всей команде стоматологии „Подмосковье“ за красивую улыбку.

Читать историю Татьяны

Работы

Пациентка 46 лет. Обратилась с жалобами на недостаточную эстетику старых металлокерамических коронок в области зубов 1.1 и 2.1, неудовлетворенность своей улыбкой.
Исходно состояние: дисгармоничные коронки на центральных резцах, скол медиального угла режущего края латерального резца справа, дискалорирующие композитные реставрации на клыках и боковом резце слева.
После реставрации коронками и винирами из прессованной керамики.

Пациентка 40 лет. Обратилась с жалобами на откол коронок резцов в результате травмы

Исходное состояние: Отколотые коронковые част резцов, множественные трещины.

После реставрация коронками E-max

Илья Михайлович Десяткин

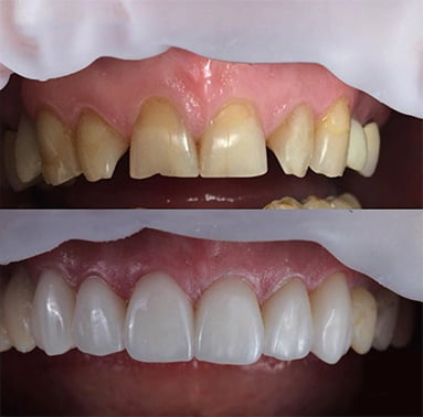
Пациентка 30 лет. жалобы на неудовлетворенность своей улыбкой (фото 1,2)

Исходно состояние: Дисколорирующие керамические виниры изготовленные в сторонней клинике. Воспалённая десна.

После реставрации винирами из прессованной керамики.

Илья Михайлович Десяткин

Пациентка 55 лет. Обратилась с жалобами на нарушение эстетики

Исходное состояние: Частичная потеря зубов, множественные пломбы.

Предложено 2 варианта: с ортодонтическим лечением и без. От ортодонтии пациентка отказалась.

Была проведена комплексная работа с привлечением смежных специалистов (Пародонтолом терапевт хирург).Установлены керамические реставрации.

Илья Михайлович Десяткин

Пациентка 30 лет. Жалоба на скол зуба 36.

Исходная ситуация — обширное разрушение зуба.

Результат: установлена керамическая коронка E-max

Александр Дмитриевич Гаврилов

6 керамических реставраций навсегда меняющих улыбку пациентки. Работа продолжается. На остальных зубах временные реставрации.

Александр Дмитриевич Гаврилов

Зачем нужно протезирование

Отсутствие одного или нескольких зубов может стать причиной ряда проблем:

  • смещение и неправильный наклон зубов;
  • повышенная нагрузка на другие зубы, что вызывает их разрушение и дополнительные траты на лечение;
  • проблемы с желудочно-кишечным трактом: оставшиеся зубы не могут выполнять жевательную функцию на 100%;
  • повреждения височно-нижнечелюстного сустава. Замечаете у себя щелчок при открытии рта? Это первый признак проблем с положением челюстей. Увеличивается риск возникновения артроза.

Грамотное протезирование зубов предупреждает возникновение таких проблем!

Запись на консультацию

Администратор перезвонит и согласует дату и время приема

Нажимая на кнопку «Записаться», вы соглашаетесь с условиями обработки персональных данных

Дмитрий Юрьевич Матвеев